Home
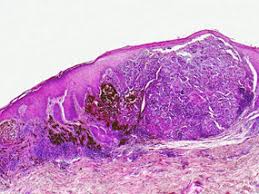
/ Superficial Spreading Melanoma, Case 1 Biopsy Showing A Superficial Spreading Melanoma In Vertical Download Scientific Diagram, The histology report was verified after 10 days and confirmed my clinical suspicion—a superficial spreading malignant melanoma with a breslow thickness of 1.8 mm.
Superficial Spreading Melanoma, Case 1 Biopsy Showing A Superficial Spreading Melanoma In Vertical Download Scientific Diagram, The histology report was verified after 10 days and confirmed my clinical suspicion—a superficial spreading malignant melanoma with a breslow thickness of 1.8 mm.
Superficial Spreading Melanoma, Case 1 Biopsy Showing A Superficial Spreading Melanoma In Vertical Download Scientific Diagram, The histology report was verified after 10 days and confirmed my clinical suspicion—a superficial spreading malignant melanoma with a breslow thickness of 1.8 mm.. The next phase is called the radial growth phase. Ulceration is a breakdown of the skin over the melanoma. In general, melanomas less than 1 millimeter (mm) thick (about 1/25 of an inch) have a very small chance of spreading. With this type of melanoma, the cancer cells usually stay in the top layer of skin cells called the epidermis. Superficial spreading melanoma is the most common type of melanoma.
The very earliest melanomas (stage 0) do not extend past the top layer of the skin, the epidermis. The cancer usually develops in an ordinary mole that previously was benign (not cancerous), and it often remains in situ quite a while before penetrating deeper. Superficial spreading melanoma is the most common type of melanoma, a potentially serious skin cancer that arises from pigment cells (melanocytes). With this type of melanoma, the cancer cells usually stay in the top layer of skin cells called the epidermis. Superficial spreading melanoma macro images.
Superficial Spreading Melanoma Download Scientific Diagram from www.researchgate.net Ulceration is a breakdown of the skin over the melanoma. The histology results were reviewed at the local and regional skin multidisciplinary team meeting, and further treatment and investigations were recommended. It starts in the basal layer and spreads horizontally for months to years before it invades into the dermis. Superficial spreading melanoma is the most common subtype of melanoma skin cancer, accounting for about 70 percent of cases, according to the nci. Superficial spreading melanoma evolves fifty percent of the time from a dysplastic nevus. When it develops, superficial spreading melanoma. When the cancerous cells have grown through the basement membrane and into the dermis it is known as invasive melanoma and is termed a superficial spreading melanoma. Superficial refers to the horizontal growth pattern of cancer cells.
It is the most common type of skin cancer, accounting for almost 70% of cases that are diagnosed.
Superficial spreading melanoma is the most common type of melanoma, a potentially serious skin cancer that arises from pigment cells (melanocytes). Superficial spreading melanoma is a type of skin cancer. Melanoma — a serious form of skin cancer — is often curable if you find it early. At this point, the management of the patient is entirely in the hands of the clinician. If you have melanoma skin cancer, you doctor will say it's in one of five stages as a way to describe how far along it is. With this type of melanoma, the cancer cells usually stay in the top layer of skin cells called the epidermis. It is the most common type of skin cancer, accounting for almost 70% of cases that are diagnosed. The histology report was verified after 10 days and confirmed my clinical suspicion—a superficial spreading malignant melanoma with a breslow thickness of 1.8 mm. Superficial spreading melanoma occurs when melanocyte cells (the cells that produce melanin, which gives color to our skin) begin clustering together in the lowest layer of the epidermis known as the basal layer. Superficial spreading melanoma is a type of skin cancer that slowly grows horizontally across the top layer of skin before moving to the deeper layers. It starts in the basal layer and spreads horizontally for months to years before it invades into the dermis. The forming cluster is the basis of the malignant patch, which will eventually spread across the top layers of skin. The cancer usually develops in an ordinary mole that previously was benign (not cancerous), and it often remains in situ quite a while before penetrating deeper.
Superficial spreading melanoma is the most common subtype of melanoma skin cancer, accounting for about 70 percent of cases, according to the nci. Are always vertical growth phase present (see below) melanomas. At this point, the management of the patient is entirely in the hands of the clinician. How and where it grows: Superficial spreading melanoma images — codes and concepts open > go to the image library.
Nodular Melanoma from www.firstderm.com The most common type of melanoma is superficial spreading melanoma. It is the most common type of skin cancer, accounting for almost 70% of cases that are diagnosed. The pictures in this article were licensed from dermnet nz. If all the melanoma cells are confined to the epidermis it is termed a melanoma in situ. Ulceration is a breakdown of the skin over the melanoma. The name may be long, but it hints at how this type of cancer behaves. It begins when the melanocytes in the skin grow out of control and form tumors. When it develops, superficial spreading melanoma.
When this cancer becomes invasive or spreads beyond the original site, the disease is known as lentigo maligna melanoma.
Superficial spreading melanoma is the most common type of melanoma on skin and mucous membranes, accounting for approximately 80% of all lesions. Superficial spreading melanoma is a type of skin cancer that slowly grows horizontally across the top layer of skin before moving to the deeper layers. Melanoma — a serious form of skin cancer — is often curable if you find it early. Superficial spreading melanoma, also known as ssm, is one of the most common types of melanoma accounting for almost 70% of all diagnosed cases. The histology results were reviewed at the local and regional skin multidisciplinary team meeting, and further treatment and investigations were recommended. When the cancerous cells have grown through the basement membrane and into the dermis it is known as invasive melanoma and is termed a superficial spreading melanoma. Superficial refers to the horizontal growth pattern of cancer cells. Superficial spreading melanoma macro images. In general, melanomas less than 1 millimeter (mm) thick (about 1/25 of an inch) have a very small chance of spreading. It initially appears small and looks similar to a slightly large freckle, but significantly progresses into a larger, more prominent lesion. They now need to ensure that the excision margins comply with the advised guidelines. The forming cluster is the basis of the malignant patch, which will eventually spread across the top layers of skin. Most commonly found on the chest, back, head or neck.
Superficial spreading melanoma (ssm) is a type of skin lesion which may be a precursor to skin cancer. In general, melanomas less than 1 millimeter (mm) thick (about 1/25 of an inch) have a very small chance of spreading. The histology report was verified after 10 days and confirmed my clinical suspicion—a superficial spreading malignant melanoma with a breslow thickness of 1.8 mm. It starts in the basal layer and spreads horizontally for months to years before it invades into the dermis. Most common of the melanomas.
Dermoscopy Early Superficial Spreading Melanoma from bp2.blogger.com Superficial spreading melanoma (ssm) is usually characterized as the most common form of cutaneous melanoma in caucasians. It tends to spread across the surface of the skin, has uneven borders, and varies in color from brown to black, pink, or red. Ulceration is a breakdown of the skin over the melanoma. Superficial spreading malignant melanoma this is the most common type of invasive malignant melanoma comprising approximately 70% of all tumors. It begins when the melanocytes in the skin grow out of control and form tumors. This form of melanoma is similar to the superficial spreading type, growing close to the skin surface at first. Superficial spreading melanoma is the most common type of melanoma on skin and mucous membranes, accounting for approximately 80% of all lesions. At this point, the management of the patient is entirely in the hands of the clinician.
Most common of the melanomas.
More frequently occur on soles of feet, palms of hands or under nails. They now need to ensure that the excision margins comply with the advised guidelines. Superficial spreading melanoma occurs when melanocyte cells (the cells that produce melanin, which gives color to our skin) begin clustering together in the lowest layer of the epidermis known as the basal layer. Superficial spreading melanoma (ssm) is usually characterized as the most common form of cutaneous melanoma in caucasians. This form of melanoma is similar to the superficial spreading type, growing close to the skin surface at first. Superficial spreading melanoma is the most common type of melanoma, a potentially serious skin cancer that arises from pigment cells (melanocytes). Melanoma — a serious form of skin cancer — is often curable if you find it early. Superficial spreading melanoma is also known as superficially spreading melanoma or ssm. Melanoma can also arise directly as melanoma in the other 50% of cases. It is the leading cause of cancer among young adults and can appear anywhere on the body, but tends to develop on the upper body of males and the lower legs of females. The name may be long, but it hints at how this type of cancer behaves. The histology report was verified after 10 days and confirmed my clinical suspicion—a superficial spreading malignant melanoma with a breslow thickness of 1.8 mm. Superficial spreading melanoma is the most common type of melanoma.